

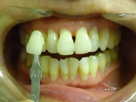
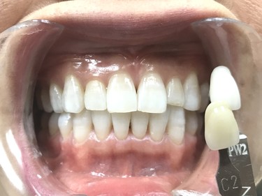
The teeth of this 60 year old are 10 shades lighter now.
Patient Photos Depicting:
Teeth Whitening
Note: Patients depicted in photos have provided their consent to display their pictures online. Results may vary.

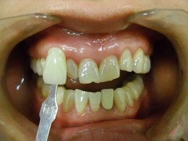
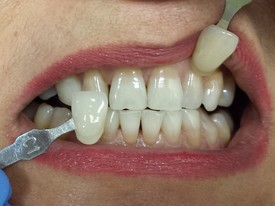
The teeth of this 40 year old are 4 shades lighter after the treatment.
Patient Photos Depicting:
Teeth Whitening
Note: Patients depicted in photos have provided their consent to display their pictures online. Results may vary.

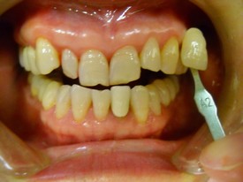
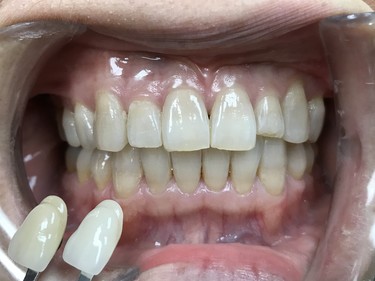
He is 45 years old and his teeth are 7 shades lighter after the laser whitening. Whiter teeth make his look younger.
Patient Photos Depicting:
Teeth Whitening
Note: Patients depicted in photos have provided their consent to display their pictures online. Results may vary.

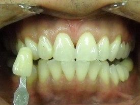
Tetracycline stained teeth can be whitened with laser in one appointment.
Patient Photos Depicting:
Teeth Whitening
Note: Patients depicted in photos have provided their consent to display their pictures online. Results may vary.

Tetracycline staining is the most difficult stains to remove from teeth. We are proud to say our deep whitening system works on tetracycline stained teeth.
